Nebojte se přihlásit! Své nastavení můžete kdykoliv později změnit.

Chcete-li vědět o nově publikovaných kazuistikách a dalších novinkách z Gastronenterologie-online jako první, stačí z nabídky zvolit položku "Přihlásit".

Potřebujete čas na rozmyšlenou? Zvolte tlačítko „Později“ a my se vám připomeneme později.
Jsme skoro hotovi! Pokud se chcete přihlásit k odběru novinek, stačí už jen kliknout na „Povolit“.
IBD

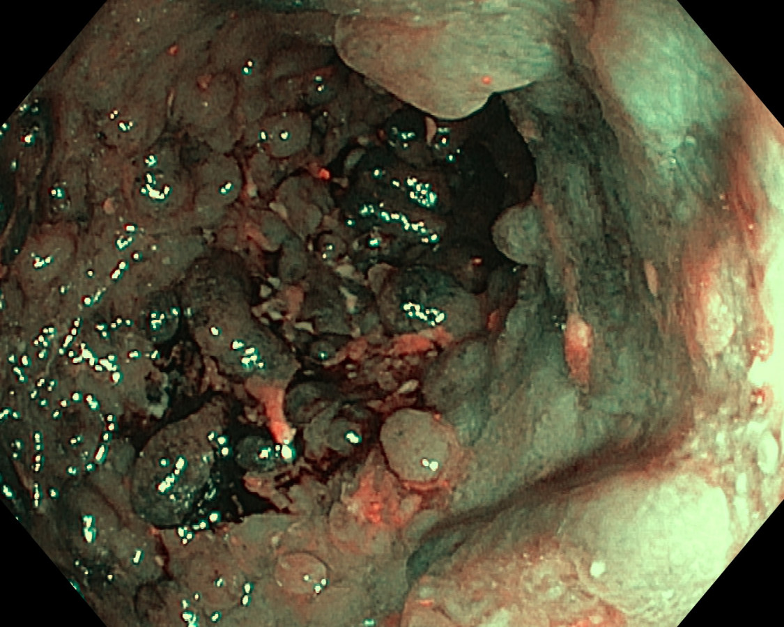
Polypóza u pacienta s ulceróznou kolitídou

13. 9. 2023
Přehled případů IBD Polypóza u pacienta s ulceróznou kolitídou

Pacient s UC - dg. od r. 2009 ako pankolitída, od 4/2010 pri imunosupres. th. kompletná remisia ochorenia, už vtedy pseudopolypózne štádium, noncompliance, kontrola až pri relapse v r. 2017. Odvtedy +/- chodí na kontroly. 07/2023 relaps, systémové kortikosteroidy, ATB, s efektom - 9/2023 pankolonoskopia - pravostranne nález dobrý, ľavá strana síce bez aktivity ochorenia, aj histolog. remisia, ale polypózne št. hlavne v sigme - foto - dysplázia zachytená nebola. Bude ťažké odsledovať KRCA v tomto teréne. Dalo by sa uvažovať o chirurgickej liečbe ? Ďakujem.

Přílohy:
Sdílet

Reakce: 1

U nemocných s UC je výskyt zánětlivé polypózy, kterou rozumíme přítomnost více než deseti zánětlivých polypů, relativně častý. Je odrazem těžce probíhající zánětu. Zánětlivé polypy nemají sami o sobě potenciál maligní degenerace a v tomto ohledu není potřeba je kontrolovat nebo odstraňovat. Mnohočetné zánětlivé polypy však znesnadňují průběh dispenzárních koloskopických prohlídek, protože významně omezují přehlednost po sliznici a detekci dysplastických změn. Druhý negativní dopad vícečetných zánětlivých polypů je u udržování aktivního zánětu a elevaci hodnot fekálního kalprotektinu. U nemocných s mnohočetnými zánětlivými polypy v rektu a rekto-sigmatu mohou být persistující tenesmy a intermitentní krvácení vyvolány právě jejich přítomností. V těchto případech je endoskopicky odstraňujeme.

Další případy

Dobrý den, rád bych se zeptal na terapeutické možnosti u 19 leté pacientky s anamnézou krátké formy Hirschprungovy choroby (postižení části vnitřního svěrače), přetrvávající chronickou zácpou. Pacientka ročník 2006; od r. 2018 zácpa (stolice až á 18...

Dobrý den, ráda bych se poradila stran terapie AZA. 1. Jak postupujete s dávkováním u pacientů, kteří jsou pomalí metabolizátoři? 2. Je možné nasadit AZA u pac., který má pozitivní protilátky HSV ve třídě IgG i IgM? 3. Nasazujete AZA u pac. s negativ...

Dobrý den, pacient , nar.1979 s chron. gastritidou na léčbě Omeprazolem, má prokázanou infekci H.pylori, pozitivním testem ze stolice a protilátkami IgA, IgG v séru. Histol.však negativní. Zároveň však nyní léčen pro recid.flebotrombosu DK s plicní e...

1 22. 11. 2024 Číst více